В ГУАПе разработали новый алгоритм для диагностики пневмонии

Аспирантка ГУАПа Анастасия Раскопина разработала новый алгоритм для диагностики пневмонии. Об этом сообщает пресс-служба университета.
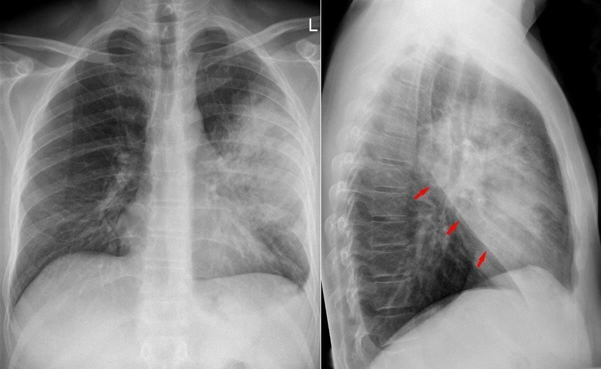
Отмечается, что новая технология анализирует рентгеновские снимки с помощью компьютерного зрения, определяя наличие заболевания с точностью до 90 процентов.
«Мне удалось построить 20 разных моделей и сравнить множество архитектур глубокого обучения, чтобы использовать их в работе с рентгеновскими снимками. Был проведен сравнительный анализ множества моделей, включая классические алгоритмы и современные архитектуры нейросетей. Такой подход позволил определить наиболее эффективное решение, учитывающее особенности медицинских изображений, что редко встречается в подобных исследованиях. Так, наиболее эффективные модели для решения задачи диагностики продемонстрировали точность более 90%. Например, получилось добиться 94 процентов точности при помощи модели Inception и 93,2 процента при помощи модели MobileNet», – объяснила Раскопина.
Ранее сообщалось, что петербургские ученые разработали модели для подъема танкера «Волгонефть-212».