Яндекс.Метрика
  • Светлана Дягилева

Врачи НИИ имени Джанелидзе спасли пациентку, в бронхи которой попал зубной протез

Она проходила с ним около года
Фото: https://t.me/emergencypetersburg/574

На протяжении нескольких месяцев 60-летнюю женщину беспокоила тупая боль в области груди справа. Когда ей стало совсем плохо, она вызвала скорую. Ее доставили в центр экстренной медицины НИИ скорой помощи имени И. И. Джанелидзе.

За две недели до этого в одном из региональных стационаров ей сделали дренирование и промывание плевральной полости, а также удалили скопление гноя в объеме около 1 литра.

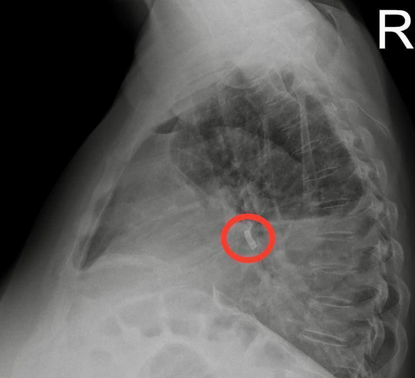
Врачи НИИ Джанелидзе сделали рентген, а затем и компьютерную томографию, которые показали, что в промежуточном бронхе справа находится инородное тело.

Как оказалось, около года назад женщина во сне вдохнула часть зубного протеза, не заметив этого, а впоследствии решила, что протез потеряла.

«За год нахождения в бронхе металлический предмет вызвал эмпиему плевры – гнойное воспаление плевральной полости, а также образование свища, через который началось распространение инфекции из легкого в плевральную полость», – рассказали в НИИ.

Дежурный хирург экстренно дренировал плевральную полость для оттока гноя, а затем заведующий эндоскопическим отделением отдела неотложной хирургии НИИ Муса Сафоев провел операцию по удалению зубного протеза длиной около 1,5 сантиметра.

Сейчас пациентка чувствует себя удовлетворительно и проходит дальнейшее лечение в профильном городском стационаре.